Senile Plaques bei Alzheimer
Veröffentlicht: 24.05.2013
Veröffentlicht: 24.05.2013

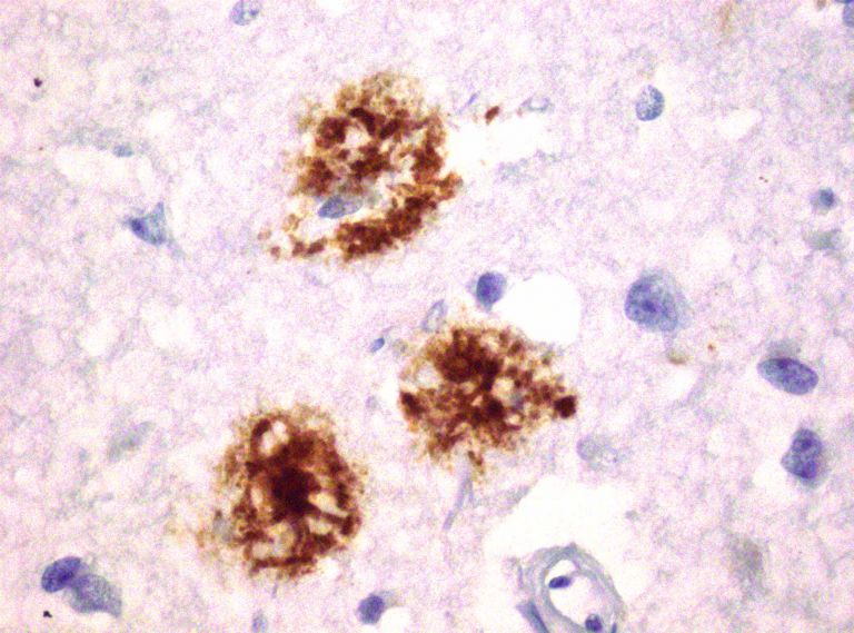
Bei Alzheimer-Patienten bilden sich Ablagerungen aus verklumpten Aβ-Peptiden in Form der so genannten senilen Plaques. Hier werden sie sichtbar durch Immunhistochemie. Mehr über die biochemischen Veränderungen im Gehirn erfahren Sie in den Artikeln Altern – (nicht nur) eine Frage der Biologie und Das Gehirn in seinen reifen Jahren.
Bild von Dr. Jakob Matschke, Leiter AG forensische Neuropathologie, Universitätsklinikum Hamburg-Eppendorf
senile Plaques/-/senile plaques
Senile Plaques lagern sich in der grauen Hirnsubstanz ab, wenn ein Eiweiß – das so genannte Amyloid-Vorläuferprotein – nicht korrekt abgebaut wird. Entzündungen sowie Erkrankungen des Fett– oder des Zuckerstoffwechsels können die Plaquebildung begünstigen. Im Schnitt erreichen die Ablagerungen einen Durchmesser von 50 Mikrometern. Das Auftreten von Plaques ist eine von mehreren anatomischen Veränderungen im Gehirn, anhand derer Pathologen nach dem Tod eine Alzheimer-Erkrankung diagnostizieren können.
Plaques
senile Plaques/-/senile plaques
Senile Plaques lagern sich in der grauen Hirnsubstanz ab, wenn ein Eiweiß – das so genannte Amyloid-Vorläuferprotein – nicht korrekt abgebaut wird. Entzündungen sowie Erkrankungen des Fett– oder des Zuckerstoffwechsels können die Plaquebildung begünstigen. Im Schnitt erreichen die Ablagerungen einen Durchmesser von 50 Mikrometern. Das Auftreten von Plaques ist eine von mehreren anatomischen Veränderungen im Gehirn, anhand derer Pathologen nach dem Tod eine Alzheimer-Erkrankung diagnostizieren können.
Themen
Author